Javascript must be enabled for the correct page display
(949) 787-3378
Mon–Sun:
7:00am – 9:00pm
Phone
Hours
Follow us
Contact Us
(949) 787-3378
Working Hours
Monday – Sunday
7:00 am – 9:00 pm
Follow Us
Facebook
Instagram
TikTok
Google
Search
Main Menu
Smile Gallery
Services
About Us
Toggle Dropdown
Meet the Team
Toggle Dropdown
Dentists
Support Staff
Office Tour
Locations
Toggle Dropdown
San Clemente, CA
Riverside, CA
Blog
Patient Info
Toggle Dropdown
Insurance & Financing
Special Offers
Search
Request an Appointment
Request an Appointment
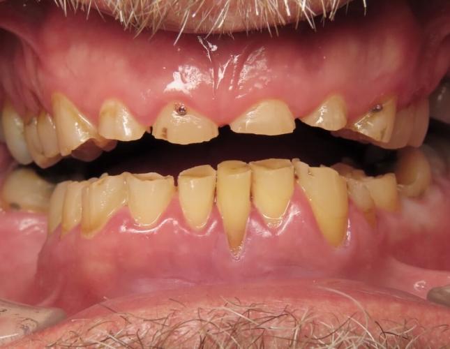
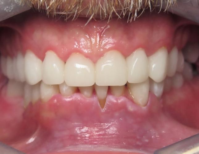
Case 7
Anonymous
Riverside, CA
(951) 904-3164
San Clemente, CA
(949) 787-3378